次世代未来型の入れ歯(特許第7659286号)

ごあいさつ申し上げます。私たちは、「口腔内スキャナ」と「医療用チタン」を組み合わせた独自の特許技術により、従来の入れ歯治療の課題を解決する次世代デジタルデンチャーを開発いたしました。患者様の快適な生活と、歯科医療の未来を切り拓くため、この革新的な技術を皆様にお届けできることを心よりうれしく思います。

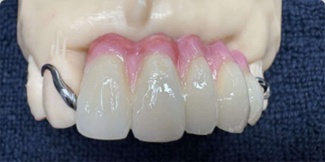
本製品は、高齢者の方でも簡単に装着でき、日常生活での不快感を最小限に抑えることができます。特に、食事の際の違和感が少なく、会話時の発音もクリアで、まるで自分の歯のような自然な使用感を実現しています。また、従来の入れ歯と比べてメンテナンスが容易で、長期使用による変形やゆるみも少ないため、定期的な調整の回数を大幅に減らすことができます。高品質な医療用チタンを使用することで、アレルギー反応のリスクも最小限に抑えられています。

チタンミリング

技術の目的・社会的背景

急速な高齢化に伴い、入れ歯利用者が増加する中、従来の製作方法では長期の通院負担や装着感の個人差が課題でした。当技術は、最新のデジタル機器を活用し、高精度かつ効率的な補綴治療を実現。患者様の身体的・時間的負担を大幅に軽減し、より快適な生活をサポートします。高齢化社会における医療課題の解決に貢献します。

他技術との違い・特許の価値

独自の特許技術により、口腔内スキャナ―で得たデジタルデータをCAD/CAMシステムと連携。医療用チタンから精密な入れ歯を製作します。従来のインプラント治療で必要だった骨への負担がなく、データの永久保存により迅速な修理や再製作にも対応。革新的な製造工程で、高品質な補綴物を効率的に提供します。

影響を受ける人や社会

骨密度の低下や歯周病でお悩みの方々にも安心してご使用いただけます。適切な咬合により口腔機能の維持だけでなく、認知機能や内臓の健康維持にも貢献。特に高齢者のQOL向上に効果的です。薄型設計による優れた装着感で、食事の楽しみをそこなうことなく、快適な日常生活を実現します。

ミリング技術

高精度チタン削削加工技術

CAD/CAMシステムを熟知し、医療用チタンを0.2mmまで精密に加工。従来の金属床義歯と比べ、約40%の薄型化を実現しながら、強度と耐久性を維持します。

アタッチメント構造

アタッチメント固定システム

特殊設計された切歯管形状により、残存歯への負担を最小限に抑えつつ、確実な固定力を実現。着脱が容易で、長期使用による固定力の低下も抑制します。

審美性向上デザインプロセス

3Dスキャンデータと特許プログラムによる歯列分析を組み合わせ、患者様一人一人の口腔形態に合わせた自然な見た目を実現。色調や形状の最適化を目指します。

次世代型義歯

よくある質問(FAQ)

影響を受ける人や社会

デジタル技術と医療用チタンを使用することで、より正確な適合性と快適な装着感を実現しています。通院回数が少なく、データの永久保存により修理や再製作も迅速に対応可能です。

インプラントとの違いは何ですか?

最大の違いは、顎の骨を削ったりする手術の必要がないことです。そのため、骨密度が低い方でも安心して使用できます。

製作にはどのくらいの期間がかかりますか?

高精度な口腔内スキャナとCAD/CAMシステムを使用することで、1回の工程で製作が可能です。従来の入れ歯と比べて通院回数を大幅に削減できます。

メンテナンスは必要ですか?

従来の入れ歯と比べてメンテナンスは容易で、変形やゆるみも少ないため、定期的な調整の回数を大幅に減らすことができます。

アレルギーの心配はありませんか?

高品質の医療用チタンを使用しているため、アレルギー反応のリスクは最小限に抑えられています。

食事への影響はありますか?

薄型設計により温度感覚を損なわず、食事を十分に楽しむことができます。食事の際の違和感も少なく、自然な使用感を実現しています。

歯周病がある場合でも使用できますか?

残存歯を保護する特殊設計により、歯周病の患者様でも安心してご使用いただけます。

会話に影響はありませんか?

会話時の発音もクリアで、自然な使用感を実現しています。

健康面での効果はありますか?

適切な口腔ケアは認知機能の維持や内臓の健康に密接に関係しています。また、咀嚼環境を確保することで、身体的・精神的健康の向上が期待できます。